Bệnh 'lạ' giống HIV/AIDS không phải do HIV gây ra
Theo CNN, một nhóm các nhà nghiên cứu lâm sàng thuộc Viện các bệnh truyền nhiễm và dị ứng quốc gia Mỹ (NIH) đã nghiên cứu về căn bệnh này và kết luận bệnh “lạ” có triệu chứng giống AIDS, nhưng lại không liên quan đến virus HIV.
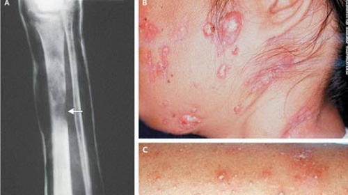
![]() |
| Bệnh lạ có triệu chứng giống HIV/AIDS |
Căn bệnh được các nhà khoa học gọi là hội chứng suy giảm miễn dịch khởi phát ở người lớn, bởi nó chỉ tấn công người trưởng thành. Trước đó, căn bệnh “lạ” này đã ghi nhận xuất hiện vào năm 2004 xảy ra ở Thái Lan và Đài Loan.
Bệnh “lạ” phổ biến hơn ở Đông Nam Á
Một chương trình nghiên cứu về bệnh “lạ” do TS. Sarah Browne người Mỹ đứng đầu đã được công bố mới đây trên tạp chí y khoa New England Journal of Medicine.
Kết luận về chương trình nghiên cứu cho hay, đến nay đã ghi nhận 12 trường hợp mắc bệnh ở Mỹ, tất cả bệnh nhân đều là người gốc Á, trong đó có người gốc Việt. Giai đoạn đầu của cuộc nghiên cứu, các nhà khoa học cũng điều trị cho một bệnh nhân gốc Việt tên Kim Nguyen (62 tuổi). Căn bệnh này được chú ý và phát hiện ở châu Á khi người bệnh bị nhiễm trùng cơ hội tương tự như HIV/AIDS, nhưng nguyên nhân gây bệnh không phải do lây nhiễm HIV.
Hiện tại, các bác sĩ đang điều trị các bệnh nhiễm trùng cho người mắc phải bệnh “lạ”. Trong một số trường hợp, các nhà khoa học sẽ cố gắng tìm cách hạ thấp mức độ kháng thể và đảo ngược sự suy giảm miễn dịch giúp người mắc bệnh phục hồi các hệ miễn dịch để giúp cơ thể chống chọi lại với bệnh.
Sau khi kết quả chính thức của cuộc nghiên cứu được công bố, các chuyên gia y tế của Việt Nam cũng quan tâm hơn tới các trường hợp bệnh nhân mắc chứng suy giảm hệ miễn dịch nhưng chữa trị mãi không khỏi.
Bác sĩ Lê Thị Thu Hương, phụ trách Chương trình Nghiên cứu Y tế thuộc Trung tâm Nghiên cứu Y tế TP.HCM cho biết, các nhà khoa học đang nghiên cứu về căn bệnh suy giảm hệ miễn dịch này. Số lượng bệnh nhân có những triệu chứng như HIV/AIDS cũng không phải là ít. Tuy nhiên, sau khi làm các xét nghiệm thì không phát hiện virus HIV.
Hiện bác sĩ Hương và nhiều đồng nghiệp đang thực hiện hàng loạt các xét nghiệm phức tạp để tìm ra phương pháp chữa bệnh hiệu quả. Bởi nếu để lâu và không được điều trị, bệnh nhân sẽ mất đi toàn bộ kháng thể.
Tuy nhiên, căn bệnh “lạ” này giống như HIV nên không thể điều trị dứt điểm. Bệnh của bệnh nhân sẽ phát triển theo từng giai đoạn, đến giai đoạn cuối, bệnh nhân sẽ chết. Đến thời điểm hiện tại vẫn chưa có phương pháp điều trị khỏi căn bệnh này.
Bệnh mới khác bệnh HIV/AIDS như thế nào?
Tiến sĩ - Bác sĩ Nguyễn Văn Vĩnh Châu, Giám đốc Bệnh viện Bệnh Nhiệt Đới TP. HCM, cho biết: Ở bệnh AIDS, virus HIV tấn công và phá huỷ lympho bào TCD4, làm cho hệ thống miễn dịch bị suy yếu dẫn đến nhiễm trùng cơ hội. Người mắc sẽ tử vong nếu không được điều trị kịp thời.
Theo nghiên cứu của Viện Sức khỏe quốc gia Mỹ, bệnh “lạ” là bệnh nhiễm trùng cơ hội do suy giảm miễn dịch, nhưng không có tổn thương của tế bào lympho mà do kháng thể tự miễn (autoantibodies) gây ra. Các kháng thể tự miễn này xuất hiện và chống lại Interferon gamma - một hoá chất trung gian giúp loại trừ mầm bệnh xâm nhập vào cơ thể.
Bệnh này chỉ xuất hiện ở người lớn, đa số độ tuổi 50, chưa rõ nguyên nhân nên các nhà nghiên cứu tạm gọi tên là 'hội chứng suy giảm miễn dịch khởi phát ở người lớn' (adult-onset immunodeficiency syndrome) để phân biệt với AIDS.
